B細胞の免疫応答調節における意義

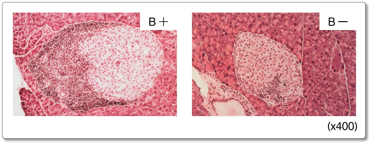
 従来、B細胞は抗体を作るものの免疫応答調節への関与は乏しいとされてきました。しかし、遺伝子操作によりB細胞を欠損したマウスが作成されたおかげで、自己免疫糖尿病のモデルマウスNODでは、B細胞を欠損すると、膵島炎の程度が軽減し(下写真)自己免疫がおこらないことが明らかとなりました(下図)。



 感染防御においても、同様に、B細胞の重要性を示す知見が次々と報告されています。このように、B細胞も免疫応答のレベルを調節しているのです。


研究課題:B細胞による免疫応答調節の分子機構
研究組織:医療技術短期大学部・生体防御医学研究科・医学部・医学研究科大学院生
審査部門:生命科学  採択年度:H11-H12  種目:B  代表者:永淵 正法(医療技術短期大学部 教授)