環境にやさしい微生物殺虫剤 Bacillus thuringiensis


 人畜・野生動物に無害な安全性の高い生物農薬のひとつとして昆虫病原細菌 Bacillus thuringiensis (BT) を利用したBT殺虫剤があります。これは対象害虫以外の昆虫 (天敵昆虫や益虫を含む) にも影響が少なく、環境にやさしい殺虫剤と言えます。また対象害虫の範囲はBTの系統によって大きく異なります。たとえばある系統では、農林害虫である鱗翅目昆虫 (チョウやガ) の幼虫のみを殺しますが、別の系統は衛生害虫である双翅目昆虫 (カ、ブユ、チョウバエなど) の幼虫を選択的に殺します。

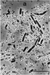
 写真に示したBTは私達の研究グループが高知市の土壌から見つけたもので、衛生害虫の中でもとくにオオチョウバエの幼虫を殺します。このほかにもマラリアカの幼虫 (ボーフラ) を好んで殺すBTの系統や、土壌害虫として知られるコガネムシ類の幼虫だけに強い殺虫活性を示すBTなどが発見されています。


衛生害虫オオチョウバエの幼虫を殺すBT

a. 位相差顕微鏡写真

b. 走査型電子顕微鏡写真

c. 透過型電子顕微鏡写真

d. オオチョウバエ成虫 (体長 4 〜 5 mm ) . 下水や浄化槽に大量に発生する

スケールは1μm . 楕円形の胞子の横にある球体 ( P ) がオオチョウバエの幼虫を殺す毒素タンパク質の集合体


ポスター担当

大庭 道夫 (Michio OHBA)(農学研究院 生物保護管理学分野・教授)

和佐野直也 (Naoya WASANO)(農学研究院 生物保護管理学分野・学術特定研究者)


【会場マップに戻る】 【もどる】 【すすむ】